E’ arrivata una novita’ rivoluzionaria nel campo del trattamento parodontale e porta il nome FOTOSAN 630. Si tratta di una lampada per disinfezione che fonda il suo principio di funzionamento sulla terapia fotodinamica, la soluzione ideale per semplificare la disinfezione dei tessuti. Grazie ad una semplice luce LED, utilizzata in combinazione con un reagente fotosensibile (Blu di Toluidina), la lampada porta ad una distruzione dei batteri in pochi secondi, ripristinando così il naturale equilibrio della flora batterica.
Nel caso in cui la situazione nella bocca non e' ideale per delle soluzioni fisse, c'e' la possibilita' di di mettere una protesi mobile. Le protesi totali si fanno in acrilato, mentre quelle parziali in acrilato e wirron (metallo).
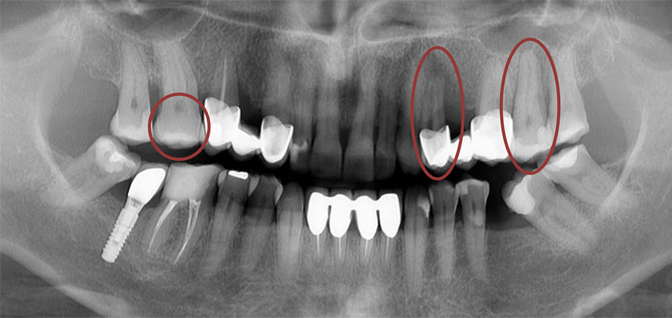
Al giorno d'oggi gli impianti dentali sono diventati uno standard nella terapia con sostituti dentali artificiali. Invece di effettuare la sostituzione di un determinato dente mediante un ponte, che può danneggiare i denti vicini, ricorrendo all'installazione di un impianto si opera una sostituzione protetica del dente originale che è praticamente uguale a un dente vero. Il prezzo degli impianti dentali, a causa delle modalità di cura e dei tipi dei materiali utilizzati, rappresenta per molti un investimento a lungo termine. Ma quanti anni ci si può aspettare che un impianto sostituisca denti mancanti? Quant'è efficace la riabilitazione mediante impianti? È il modo migliore di compensare denti mancanti e da che cosa dipende l'efficacia?
Affidatevi alla qualità e professionalità dei dentisti in Croazia specializzati in implantologia.
Nello Studio dentistico Jindra-Strika TAC principalmente si usa per la terapia implantare e nei casi in cui non è possibile determinare con precisione la condizione dei denti. Esso fornisce un lavoro professionale, con qualità e successo trattare i nostri pazienti. In seguito vogliamo spiegare i benefici della TAC.
“Volevo ringraziare tutto lo staff che sono di una gentilezza e professionalità unica e visto che io sudavo freddo solo al vedere la poltrona, vi assicuro che la mia fobia non esiste. Che dire sono veramente dei maghi, ve lo consiglio se ne avete bisogni.“Baldo C., Firenze
“Top esperto, esegue tutti i dettagli e davvero le migliori intenzioni. Si può sempre chiedere ulteriori domande senza provare disagio. Una raccomandazione onesto a tutti.“
“Sono molto sodisfatta. Davvero bravi e complimenti al Doc.Tomic. Professionalità, competenza e attrezzature all'avanguardia.“Renata (56) da Belluno
“Sono estremamente riconoscente al dott. Dunđer per il suo indolore intervento volto all’asportazione di un granuloma dalla mandibola, e alla sua mano rimasta leggera anche dopo 5 ore di intervento.“Martina Novak (36)
“Sono rimasto molto soddisfatto del lavoro fatto e della vostra professionalità e devo ringraziare la mia amica che mi ha consigliato di venire nel vostro studio. Quando sono stato a fare un altro preventivo in una grande clinica di rijeka mi è sembrato di entrare in una fabbrica dove il cliente viene messo in una catena di montaggio mentre da voi mi è piaciuto molto il rapporto diretto dottore/paziente e la valutazione del lavoro è stata molto personalizzata e il risultato meglio di quanto potessi immaginare. “LION MASSIMO
“Sono rimasto molto soddisfatto dal trattamento e dai consigli professionali che mi sono stati dati. Mi sono sentito a mio agio e fiducioso. Ero in buone mani.“Živka G., Maribor
“Sono sorpresa della collaborazione dei dottori e le informazioni che offrono. La cura su come si sente il paziente durante il trattamento. La gentilezza del personale! Grazie.“Ana D., Zagabria
“Professionalita’ e cortesia sono qualita’ promesse in tanti contenstie non sempre rispecchiano la realta’, ma qui si.“Simone V., Rome
“Sono contento con il trattamento del istituto stomatologico Dubravica.“Diego G., Milano
“Dr. Zaverski é uno dei dottori migliori da cui sono stato fino ad ora. Ha un’esperienza acquisita dalle operazioni che ha effettuato. Cessato il gonfiore e sparito il dolore era giá abituato ai nuovi denti.“Simone
“L’inserimento dell'impianto immediatamente dopo l'estrazione del dente e l’applicazione della corona provvisoria sull'impianto, mi hanno consentito di risolvere il mio problema in tempi brevi e con ottimi risultati. Ero terrorizzata dall’idea di ricorrere all’implantologia, ma parlare con il Dott. Flegar, che mi ha rassicurata spiegandomi la procedura, mi ha dato calma e fiducia. Sono estremamente soddisfatta di come è andato l’intervento, non avevo nessun dolore e non ci sono state complicazioni, tutto è andato esattamente come il mio dentista , il Dr. Flegar, mi aveva detto. Grazie!“Marina, 22
“Ringrazio per avere avuto modo di capire quanto sia importante porre attenzione all’igiene dentale, partendo da quella di base, nonché un regolare controllo, anche soltanto per farsi pulire il tartaro dentale.“Alen Makar (44)
“Adesso ho capito perche non trovavo prima di andare da loro , nessun commento negativo....e impossibile non essere contenti...complimenti al tutto team...sono davvero professionisti dai tutti punti di vista..non vedo l'ora di tornare. ...un abbraccio a tutti“Aliss Baciu
“Sono veramente orgoglioso che in Kraljevica, il paesino dove vivo, abbiamo dott. Kalmar Šandor lo quale ho avuto fortuna di conoscere e diventare il suo paziente. Notando il numero di pazienti italiani si puo concludere facilmente com'e' bravo in quello che fa'. Per anni segue il processo di evoluzione del suo campo ed e orientato ai standardi europei. Posso affermare di persona che dott. Šandor e' conscientious e assolutamente competente, e lo posso raccomandare con sicurezza.“Ćiro Blažević - esperto in calcicio / allenatore
“Grazie per tutto quello che hai fatto per me e i miei figli!“Vanja Medica Kosanović
“Io che sono di PESCARA, ho preso la nave e sono andato IN Croazia e mi hanno preso al porto in croazia e mi hanno portato Zagabria, citta’ bella. Mi sono trovato bene e ho fatto amicizia con gli altri numerosi pazienti Italiani. Tornato a casa soddisfatto“P.Mariotti
“Personalmente posso dire di essermi trovata benissimo , è stato fatto un bel lavoro e finalmente posso sorridere ( e anche mangiare) tranquillamente. Ringrazio la dott.ssa Vesna e il suo staff di dottoresse di grande competenza e umanità ( io ho molta paura dei dottori in generale) , loro con la pazienza mi hanno fatto sentire a mio agio e son bastate pochissime sedute ed ero come nuova. Grazie.“BARBANERA GABRIELLA – TRIESTE
“Mi sono trovata benissimo in tutti i sensi. Un medico gentile che ti mette a tuo agio e che ti fa passare anche la paura.“Rosanna Brignani, Mantova
“Mi chiamo Campanella Gabriella di Roma(Italia). A novembre dell'anno scorso, sono stata curata dallo staff della Clinica Dental di Zagabria, e dire che mi sono trovata benissimo è dire poco. Ho cambiato tutta l'arcata superiore con materiale di ottima qualità e la massima igiene, In più ho avuto l'alloggio gratis. Il tutto con la traduzione simultanea ed un'ottima accoglienza.“Campanella Gabriella
“Ottimo ambiente, ottimo lo staff. Pulizia ottima, cortesia eccellente. Servizio dentistico di precisione, ottimo il materiale usato. Prezzi concorrenzali.“Franca
“Voglio ringraziare tutto il team che mi ha ospitato. Sicuramente vi elogierá tra amici e conoscenze.“Leonardo
“Molto bravi complimenti siete i numeri uno, all'inizio ero molto e non poco titubante sul vostro operato poi una volta da voi mi sono trovato veramente bene, professionalità, poca spesa e lavoro ben fatto è il vostro moto...“Mario Trudu
“Costi più bassi e bellissimo studio. Parlano anche in italiano. Grazie alla dottoressa Vivien per la sua gentilezza.“Manuela, Lonato, Brescia
“Alla fine ho vinto la paura! Grazie!“Ana Milardović
“Siamo arrivati dalla Sicilia, mio marito ed io e dobbiamo dire che e' stata un'esperienza molto positiva. I dottori dell'H-dent, hanno impiegato moltissimo tempo a parlare con noi e a spiegarci tutto quello che volevamo sapere. Non ci e' mai sucesso prima che i medici comunichino con i pazienti in un modo cosi' tranquillo. Tutti i lavori eseguiti sono stati veloci ...“Rosaria e Lucio
“Appena tornato dalla seconda e ultima seduta del trattamento paradontale. Tutto benissimo, come preventivato e concordato. Grande professionalità e disponibilità. Nessun disturbo/problema durante e, soprattutto, il primo intervento fatto. Prossimo appuntamento tra circa un mese, per controllo. Ringrazio e a sentirci più avanti.“Nicola
“La clinica abcdenti sicuramente non ha niente a che vedere con la maggior parte dei dentisti italiani serietà professionalità e niente viene lasciato al caso.. sempre pronti a rispondere a qualsiasi domanda e curiosità, la strada è tanta ma ne vale la pena. Qua' il lavoro viene svolto con passione senza mai trascurare il paziente.. sopratutto senza tante perdite di tempo, e senza continui giri a vuoto. lo consiglio a chi ne avesse di bisogno!!“Monica Trentini
“Sono una paziente del dottor Fabris dal 2011 e mi sono trovata molto bene sia per la gentilezza, la cortesia e soprattutto la sua professionalità. Raccomando a tutti di provare almeno una volta un controllo in questa clinica perché sono veramente molto gentili e molto molto professionali.“Signora Marisa Assueri
“Dall’inizio della terapia fino alla fine mi sentivo sempre calmo, avevo tutte le informazioni e l’attenzione necessaria. Il risultato e perfetto!“Massimiliano Sterpin
“Grazie Dottore, sono Giulio Bonetti dalla provincia di Bergamo. Sono contento di poter inviarti questo messaggio di complimenti per l ottimo lavoro svolto. Come sai all inizio ero terrorizzato ma poi tu mi hai convinto con la tua calma. Mia moglie non credeva che potessi ottenere un sorriso cosi bello; importante e che sono tornato a mangiare la carne, che da anni non mangiavo.“Darko Kravar
“Sono in cerca di un nuovo lavoro e un bel sorriso per me è molto importante. Dicono tutti che sguardo benissimo da quando sorrido senza nascondere la bocca. Questo è il regalo più bello che io avessi mai potuto ricevere.“Marina Pilja
“L’ho scoperto tramite gli amici che hanno già fatto dei lavori, ne sono rimasta entusiasta. Ho finito il lavoro e sono soddisfattissima!“Flavia M., Torino
“L'esperienza complessiva allo Studio Leušić Temmer è molto positiva. Il dottor Leušić Temmer è circondato da un 'equipe molto cordiale, premurosa e professionale.“Nenad B., Zagreb
“Per molti anni ho avuto una paura del dentista a causa di traumi infantili. Dopo che mi sono convinto che era giunto il momento di andare dal dentista e l’installazione dell’impianto, su raccomandazione del collega sono andato a dr. Balenovic. E sicuramente il miglior dentista che abbia mai incontrato. Paziente, professionale, incontra e divertente, che aiuta quando stai tremando di paura.“
“Nella clinica mi sentivo perfettamente a mio agio. Suggerirei a chiunque ha dei dubbi di venire nell’Amicadent.“Angela Zajc
“Una sola parola basterebbe... Eccenzionale!! Non avrei mai creduto di sentirmi cosi' subito il giorno dopo. 10+ per la vostra disponibilita', 10+ per tutto lo staff, 10+ per la profesionalita', 10+ per l'ospitalita. Sicuramente parlero' bene di voi tutti.“Gianni Bolognani
“Un incisivo centrale superiore riparato perfettamente e l'estetica è perfetta sembra il mio dente naturale ! Top consiglio veramente a tutti . Ottimo posto , ottimo servizio, ottimo personale e soprattutto un ottimo lavoro a un prezzo ancora più ottimo. Grazieeeeeeeeeeeeee“Andrea Poppa
“Molta pazienza e professionalita. Risultato eccezionale. Personale competente, gentile e simpatico. Mi sono trovato proprio bene. Consigliato a tutti! “Franco (60) da Belluno
“Grazie a tutto lo staff! Sono molto contenta di avervi conosciuti e il lavoro che mi avete fatto è semplicemente PERFETTO!“Guendy De Toffol, Lignano Sabbiadoro
“Ho avuto grossi problemi con i denti. Ero sfiduciato ad andare da un dentista. Per caso tramite un amico ho conosciuto lo studio Hrala. Mi hanno ridato il sorriso che da anni non avevo. Non finirò mai di ringraziarvi.“Paolo Schettino
“Carissima Doriana! Grazie Grazie con tutto cuore. Sei stata bravissima, con te ho superato tutte mie paure Grazie! Ti abbraccio forte a presto.“Danuta Flis
“Ciao volevo ancora ringraziarti e ringarziarvi di tutto i dentacci sono uno SPETTACOLO ( mi avete cambiato la vita). Grazie per la pazienza, riesco a mangiare e soprattutto non ho male. Siete tutti spettacolari. Grazie!“Massimiliano Sartori
“Sono soddisfatta di competenza, professionalità e approccio personale. Tutti i trattamenti ottenuti nel Centro sono stati ottimi, hanno risolto il mio problema per sempre e i risultati sono bellissimi. Penso che questo sia un ottimo studio e intendo tornarvi ogni volta che necessiti un trattamento.“Dorotea F. , Dubrovnik
“Con la presente, per Comunicar Vi, la piena soddisfazoione, in merito al lavoro dentale, eseguito presso la Vs. Clinica. Tengo ad evidenziare che, la funzionalità masticatoria a dir poco è ottima e non è da meno l'estetica, di tutta la bocca. Quest'ultima, è condivisa da tutte le Persone che, ho potuto incontrare, in questo breve lasso ditempo, tenendo presente che, il lavoro è stato ultimato, in data 28 c.m. Con grande soddisfazione, non posso farnea meno di salutar Vi tutti, compreso i tecnici di laboratorio, con un affettuoso e cordiale saluto. Grazie di tutto.“P. Trevisani
“I miei amici vengono già da 12 anni e sono contentissimi. Io dovevo fare un grande lavoro, arcata superiore e inferiore, e i costi in Italia sono altissimi, mi hanno chiesto più di 20.000 €, invece qui lo stesso trattamento con la massima qualità ho speso il terzo, una differenza veramente grande e sono molto contenta del servizio, del dottore, del lavoro. Veramente un posto molto piacevole per fare un lavoro di grande qualità.“Signora Grazia Vianello
“Dental Studio Rešetar Brezak è un’oasi dentale moderna nel cuore di Zagabria, dove i medici sono sorridenti e professionali, e noi pazienti, rilassati e felici.“R.T.(65), avvocato, Croazia
“Qualita e gentilezza!“Ankica Pranjić
“Brava, competente, professionale, onesta, instancabile e molto simpatica, la consiglio a tutti. Grazie Doriana.“Francesca Curreli
“Sono stato a Zagabria il giorno 07 -03-2015, x impiantologia, e costruzione ossea arcata superiore!..a fine giugno dovro'ripresentarmi x ultimare i lavori e, i denti sotto dell'arcata inferiore!..x il momento posso dire che ero titubante anch'io, ma..la professionalita',l'ospidalita' l'igiene,pulizia alloggio gratuito fanno di questo team professionisti seri..fidatevi e lasciate pure il vostro dentista del loco!“Nicola
“Grande serietà e professionalità fanno di questo studio a mio avviso uno dei migliori in Croazia...lo consiglio veramente a tutti.“Massimo Tirali
“Il dott. Hrala non solo è un grande professionista ma anche un grande uomo. Mi ha fatto sentire subito a mio agio. Tutto lo staff è disponibile e cordiale. Lo studio è attrezzato con le più sofisticate apparecchiature.“Mauro Andreoli
“Per me è sempre una grande soddisfazione venire in questo studio dentistico. Lo staff e le dottoresse sono molto ospitali e gentili. Tutti i pazienti a cui ho raccomandato questo studio dentistico sono molto contenti e soddisfatti.“ROSSI REMIGIO – SAN MICHELE AL TAGLIAMENTO
“Mi sono trovata molto, ma molto bene. Consiglierei questo studio a tutti, sia per il trattamento, sia per i costi.“Marzia Chiarini, Ghedi (BS)
“Gesù disse il penitente: prendi il tuo letto e vai; a me hanno detto qui: prendi i Suoi nuovi denti e mangi quello che vuoi.“M.K.(85), medico pensionato, Croazia
“Il dottor Flegar segue una procedura professionale accurata nel minimo dettaglio ed ha la bellissima capacità di mettere il paziente a proprio agio. Una mano tranquilla e sicura è la massima garanzia. Questa metodologia è consigliata a tutti coloro che finora pensavano che andare dal dentista richiedesse una preparazione mentale per poter gestire la paura. “Asja, 54
“Sono venuta con il mi marito che aveva da fare molti lavori e non si poteva fare da noi perche’ costava troppo e ci voleva du anni a finire. In Croazia lui ha fatto in 4 mesi tutto e anche contento io ho messo le capsule in zirconio davanti in 5 giorni e sono strafelice so diventata dinuovo una ragazzina“T. Perfetti
“Io ci sono stata....e l'ho consigliato anche ad altre persone...mi sono trovata benissimo, professionalità e cortesia in piu` se serve ti ospitano, capaci e onesti nel prezzo!! Stanca della scarsa professionalità e dei prezzi esorbitanti che trovavo in Italia ho contattato lo studio Smile dove ho trovato professionalità e cortesia sia da parte dei Dottori che nel loro personale, ed una buona qualità nei materiali. Quando ci si reca allo Studio Smile si ha ben chiaro il lavoro che si deve fare, il tempo che ci vuole e la spesa che si deve affrontare senza avere spiacevoli imprevisti, per questi motivi l'ho consigliato sia alla mia famiglia che hai miei clienti e siamo MOLTO SODDISFATTI!!! “MARIELLA MAGLI
“Quando mi sono trasferito dagli Stati Uniti a Rijeka (Fiume), la prima cosa da fare era trovare il mio dottore, macellaio, pescivendolo, il bar ed il dentista. Per quanto riguarda il dentista, tutti mi hanno consigliato di andare dal dottor Sandor Kalmar il quale viene dalla citta' di Subotica a me molto cara. Inoltre ho scoperto che tutta la famiglia Kalmar sono tutti dottori ad altissima esperienza e per questo motivo che tutta la mia famiglia svolge le cure odontoiatriche dalla famiglia Kalmar a Crikvenica o a Rijeka. Da aggiungere (solo nel mio caso) io non faccio uso di anestesia normale ma una speciale anestesia che solo il dottor Sandor fa ed e' la sua rinomata grappa di albicocche.“Rade Šerbedžija – attore
“Dopo aver chiesto vari preventivi per implantologia fissa per arcate superiore ed inferiore. In H-Dent posso dire di aver trovato. Puntualità: perchè venendo dall'Italia non mai ho perso tempo. Professionalità: Ho ricevuto da parte del dott.Ivan e suoi collaboratori la massima assistenza sia durante gli interventi e post interventi,sono stati veramente al top.“Ferrari Alberto
“Ringrazio tutto lo staff dello studio dentistico per la gentilezza a noi riservata sia per le cure ricevute, sia per l'ospitalità e per la bravura di tutti; un grazie infinito di nuovo alle dottoresse, agli assistenti alla poltrona e alle traduttrici!“Cannizzo Francesco, Castelvetro
“Ho trovato accoglienza e gentilezza, cose ormai rare anche in ambienti medici, oltre a professionalita' e affidabilita'. Complimenti anche per la struttura luminosa e ben attrezzata. L'umanita' del personale fondamentale.“Antonio
“Confesso che ero titubante sul fatto di scegliere un dentista in Croazia. Mi sono decisa solo perché i costi preventivati in Italia per il mio impianto erano eccessivi e perché, già nelle mail, ho trovato tanta professionalità che mi ha dato fiducia. Di sicuro non pensavo di trovare un posto così bello e moderno e il dottor Jurkovic è stato impeccabile e gentile. I prezzi super competitivi. Vale la pena del viaggio.“Elena, Desenzano del Garda, Brescia
SCONTO PER FAMIGLIE + GRATIS I BAMBINI SOTTO AL 12 ANNI
Studio Dentistico Babić
IMPIANTO COMPLETO STRAUMANN: 950,00€
Dental Centar Dubravica
Ottenete uno sconto di 10% su tutti i lavori e trascorrete un vacanza gratuita con Smile Studio!
Smile Studio
DENTI IN UN SOLO GIORNO ("ALL ON FOUR, ALL ON SIX")
Studio Dentistico Flegar
Visita di controllo
Studio Dentistico Sorriso
IMPIANTO DENTALE COMPLETO CON CORONA IN CERAMICA ESTETICA ORA A SOLI 700€ !!
Centro Dentale Dentas
Il primo esame e una pulizia dentale estetica
Odontoiatria e stomatologia Videntis
Nobel Biocare Impianti – garanzia di alta qualità
Dr. Zlatko Catovic
All on 6 e All on 4
Clinica Dentale Miletic
PACETTO PROTESICO
IMPIANTI 4+1
Dental Studio Resetar Brezak
Impianto osseointegrato a soli 399€
Dental Studio Kinkela
ORTODONZIA mobile e fissa, ortodonzia INVISIBILE
Dental Studio Uravic
Alloggio Gratuito
Dental Esthetic Center
Impianto + moncone a soli 750 € ! Promozione primaverile, approfitta dello sconto!
Dental Implant + Jindra Strika
Implantologia moderna-filosofia Svizzera
PACHETTO „IL PONTE“
Alloggio incluso
Sbiancamento con il laser 350 euro
Trasporto privato di lusso gratuito da Trieste
Il centro di odontoiatria estetica
Nel nostro Studio la prima visita, la lastra panoramica, la consultazione con il Dottore sono completamente gratuiti
Clinica Dentale RIVIERA DENT
Sistemazione gratuita
Dental Clinic Dott. Jelka Leušić Temmer
Promozione degli impianti dentali Dentium al prezzo di 405 €
Impianto dentale con dente a soli 750€
Pulizia gratuita con ablazione del tartaro e sabbiatura
1 impianto gratuito
H Dent Studio Dentistico Rovigno
Impianto Astra Tech con sovrastruttura e corona in metallo-ceramica 950 €
DOTT. ZVONIMIR HRALA
IL VOSTRO SORRISO E’ LA NOSTRA MISSIONE!
UN BENVENUTO SPECIALE: 15% DI SCONTO SU IMPIANTI E SOGGIORNO GRATUITO SULLA SPLENDIDA ISOLA DI KRK (VEGLIA)
Dental Studio Vukanovic
SEDAZIONE COSCIENTE
Maggio e' il mese degli impianti!
Cukon Dental Clinic
TRASPORTO ORGANIZZATO GRATUITO
Dental Centar b2
Protesi collegata a due perni Straumann con attacchi Locator - 2600 euro
Dental Centar Omega
Offerta nel messe di giugno!
20% di sconto per NobelParallel CC!
Protesi su localizzatori o sfere - Bredent a partire da 3596 EUR
Centrodent
CAD-CAM rivoluzione nella medicina dentale
Centro dentale Štimac
IMPIANTO + SOVRASTRUTTURA + CORONA IN CERAMICA ZIRCONIO - 1180 euro
Pranzo o cena per 2 persone
All on 4 partire da 3999 euro
Prima visita gratuita senza impegno
Dental Centar Ostojic
Corona metallo-ceramica a soli 199€
Corona in metallo-ceramica a soli 200 euro
Impianto dentale Astra Tech 986,00 euro
Impianto dentale completo AstraTech a 918€
Terapia di ortodontia in bianco Ice Sapphire Ormco - 1250 euro
Sconto per famiglie dal 5% al 10%
Studio Dentistico Adriatic Dent
Visita della città
TORNARE A SORRIDERE: SMILE MAKEOVER CON DIGITAL SMILE DESIGN
Corone in zirconio ceramica – offerta speciale!
Offerta speciale Sconto dal 10% al 20%
Studio Odontoiatrico Balenovic
Su 6 impianti inseriti, 1 impianto gratis!
Il makeover totale dei denti